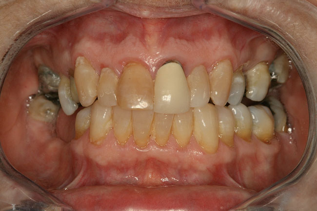
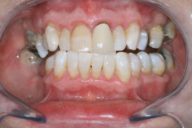
Teeth Whitening
Teeth Whitening, also known as dental bleaching, is a common procedure in general dentistry, but most especially in the field of cosmetic dentistry.
As you grow older adult teeth often become darker in colour due to changes in the mineral structure of the tooth. Teeth can also become stained by bacterial pigments, foodstuffs and tobacco. Certain antibiotic medications can also cause teeth to stain. Dental bleaching can combat these changes in tooth colour and give you a more youthful looking smile.










